Агляд
1. Зацягніце ручны тормаз, затым паддам кратце перадпакой частка аўтамабіля, і надзейна ўсталюеце яе на восевыя падпоркі.
2. Візуальна агледзіце гумовыя падушкі на падвешваннях рухавіка/трансмісіі на наяўнасць расколін і забруджванняў. Асцярожна з дапамогай рычага вызначыце стане гумавых падушак. Калі маецца празмернае рух у мацаванні, або калі пагоршыўся стан гумы, мацаванне варта замяніць.
Кранштэйны правага верхняга падвесу рухавіка
Зняцце
3. Змесціце дамкрат пад паддонам, праклаўшы паміж імі вялікі драўляны брусок. Злёгку прыпадніміце рухавік.
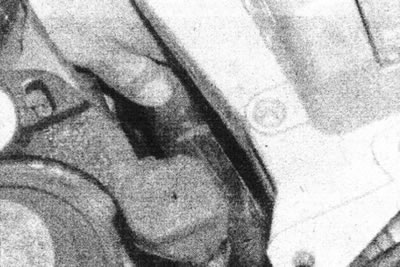
4. Адкруціце гайку, якая мацуе кранштэйн да гумы падвеса рухавіка, і дастаньце гумовую падушку, затым адкруціце тры ніта, якія мацуюць кранштэйн да ніжняга кранштэйна падвеса рухавіка/вечку зубчастага прываднага рамяня, і дастаньце кранштэйн (гл. ілюстрацыі).
17.4а. Адкруціце гайку, якая мацуе правы верхні кранштэйны да гумовай падушцы...
17.4b....і дастаньце гумовую падушку...
17.4с....затым адкруціце ніты, якія мацуюць кранштэйн да кранштэйна ніжняга мацавання...
17.4d....і дастаньце верхні кранштэйн.
Ўстаноўка
5. Вырабляйце ўстаноўку ў зваротнай паслядоўнасці, зацісніце крапежную гайку і балты намаганнем зацяжкі, рэгламентаваным Спецыфікацыямі. У заключэнне праверце і, калі неабходна, адрэгулюйце становішча абмежавальніка руху рухавіка наступным чынам.
6. Вымерайце зазор паміж кожнага боку гумы абмежавальніка руху і кранштэйнам падвешвання. Гэта можна зрабіць, уводзячы металічную пласціну або мацы прыдатнай таўшчыні праз дзве пазы ў верхняй частцы кранштэйна. Зазор абапал павінен быць аднолькавы, т.е., гума абмежавальніка руху павінна размяшчацца строга па цэнтры кранштэйна.
7. Калі неабходна, прыслабце два ніта, якія мацуюць пласціну абмежавальніка руху да кузава, і адрэгулюйце становішча абмежавальніка. У заключэнне надзейна зацісніце балты мацавання.
Кранштэйны правага ніжняга падвесу рухавіка/вечка зубчастага рамяня
Зняцце
8. Зніміце кранштэйны правага верхняга падвешвання як апісана вышэй у гэтым раздзеле.
9. Вызваліце шланг вугальнай каністры ад перадпакоя часткі ніжняга кранштэйна падвешвання рухавіка/вечкі зубчастага рамяня (гл. ілюстрацыю).
17.9. Вызваліце шланг вугальнай каністры ад пярэдняй часткі кранштэйна.
10. Адлучыце электраправодку ад наступных кампанентаў, затым перамесціце паляць ад кранштэйна ніжняга падвесу рухавіка/вечкі зубчастага рамяня, адзначаючы размяшчэнне правадоў (гл. ілюстрацыі).
17.10а. Адлучыце электраправодку джгута паліўнай фарсункі...
17.10b...і электраправодку падаўцы перашкод аўтамагнітолы.
- Датчык кіслароду.
- Модуль кіравання запальваннем.
- Паляць правадоў паліўнай фарсункі.
- Падаўшчык перашкод аўтамагнітолы.
11. Адкруціце подаўнік перашкод аўтамагнітолы ад затамкавага вечка (гл. ілюстрацыю).
17.11. Адкруціце подаўнік перашкод ад затамкавага вечка.
12. Вызваліце шланг сістэмы астуджэння ад клямара на пластмасавым вечку зубчастага прываднага рамяня (гл. ілюстрацыю).
17.12. Вызваліце шланг сістэмы астуджэння ад клямара на вечку зубчастага рамяня.
13. Акуратна зніміце клямку, якая мацуе паліўныя шлангі да задняй часткі кранштэйна ніжняга падвешвання рухавіка/вечкі зубчастага рамяня, затым вызваліце шлангі ад верхняга кранштэйна/крышкі (гл. ілюстрацыі).
17.13а. Зніміце клямку, якая мацуе паліўныя шлангі да задняй часткі кранштэйна/вечкі.
17.13b....затым вызваліце шлангі ад верхняй часткі кранштэйна/вечкі.
14. Адкруціце чатыры ніта, якія мацуюць кранштэйн ніжняга падвешвання рухавіка/вечка зубчастага рамяня да галоўкі блока цыліндраў, затым выведзіце кранштэйн/вечка міма шланга сістэмы астуджэння, і дастаньце зборку з маторнага адсека (гл. ілюстрацыі).
17.14а. Адкруціце балты мацавання...
17.14b....затым дастаньце кранштэйн/вечка зубчастага рамяня.
Ўстаноўка
15. Вырабляйце ўстаноўку ў зваротнай паслядоўнасці, надзейна зацісніце балты мацавання і ўсталюеце кранштэйны правага верхняга падвешвання рухавіка як апісана вышэй у гэтым раздзеле. Пераканайцеся, што праводка пракладзена правільна, як адзначана перад здыманнем.
Гума правага падвешвання рухавіка
Зняцце
16. Гумовая падушка ўмантаваная ў металічную мантажную пласціну, якая прымацаваная нітамі да кузава.
17. Зніміце кранштэйны правага верхняга падвешвання рухавіка як апісана раней у гэтым раздзеле.
18. Адкруціце чатыры ніта мацавання, два з якіх таксама мацуюць абмежавальнік руху рухавіка, затым зніміце абмежавальнік і дастаньце зборку гумовай падушкі/кранштэйна.
Ўстаноўка
19. Вырабляйце ўсталёўку ў зваротнай паслядоўнасці, але не заціскайце два ніта мацавання падвешвання/абмежавальніка руху, пакуль не будзе ўсталяваны кранштэйн верхняга падвешвання рухавіка як апісана раней у гэтым Раздзеле.
Правы абмежавальнік руху рухавіка
Зняцце
20. Зніміце кранштэйны правага верхняга падвешвання рухавіка як апісана вышэй у гэтым раздзеле.
21. Адкруціце два ніта мацавання, якія таксама мацуюць падвешванне рухавіка, і дастаньце абмежавальнік.
Ўстаноўка
22. Вырабляйце ўсталёўку ў зваротнай паслядоўнасці, не заціскайце цалкам ніты мацавання абмежавальніка руху, пакуль не будзе ўсталяваны кранштэйн верхняга падвешвання рухавіка як апісана раней у гэтым Раздзеле.
Левы верхні кранштэйны рухавіка/скрынкі перадач/акумулятара
Зняцце
23. Далучыце лябёдку і пад'ёмную прыладу да левай мантажнай вушы рухавіка, і злёгку прыпадніміце рухавік.
24. Зніміце акумулятар як апісана ў Раздзеле 5А.
25. Зніміце працэсарны блок сістэмы ўпырску паліва як апісана ў Раздзеле 4С.
26. Вызваліце праводку, тросікі, шлангі і г.д. ад кранштэйна.
27. Адкруціце бакавую пласціну акумулятара ад кранштэйна, і зніміце яе (гл. ілюстрацыі).
17.27а. Адкруціце балты мацавання...
17.27b....і зніміце бакавую пласціну акумулятара.
28. Акуратна адзначце становішча кранштэйна на кузаве.
29. Адкруціце дзве гайкі, якія мацуюць кранштэйны падвешвання да кранштэйна скрынкі перадач, затым адкруціце чатыры ніта, якія мацуюць кранштэйны да кузава, і дастаньце яго з маторнага адсека (гл. ілюстрацыі).
17.29а. Адкруціце дзве гайкі, якія мацуюць кранштэйны падвешвання/акумулятара да кранштэйна скрынкі перадач...
17.29b....тры верхніх ніта (адзначаны стрэлкамі), якія мацуюць кранштэйны да кузава...
17.29с....і ніжні ніт, які мацуе кранштэйн да кузава,...
17.29d....затым зніміце кранштэйн.
Ўстаноўка
30. Вырабляйце ўстаноўку ў зваротнай паслядоўнасці, зацісніце мантажныя балты намаганнем зацяжкі, рэгламентаваным Спецыфікацыямі.
Гума левага кранштэйна падвесу рухавіка/скрынкі перадач
Зняцце
31. Зніміце левы верхні кранштэйны рухавіка/скрынкі перадач/акумулятара як апісана вышэй у гэтым раздзеле.
32. Адкруціце крапежную гайку, і зніміце гумовую падушку са шпількі на скрынцы перадач.
Ўстаноўка
33. Вырабляйце ўстаноўку ў зваротнай паслядоўнасці, зацісніце ўсе крапежныя дэталі намаганнем зацяжкі, рэгламентаваным Спецыфікацыямі.
Кранштэйны задняга падвесу рухавіка/ніжняя сувязь
Зняцце
34. Зацягніце ручны тормаз, затым паддам кратце перадпакой частка аўтамабіля, і ўсталюеце яе на восевыя падпоркі.
35. Працуючы пад аўтамабілем, адкруціце балты (заблакуйце гайкі другім гаечным ключом), якія мацуюць апорны відэлец задняга падвешвання да кранштэйнаў на падматорнай раме і блоку цыліндраў, заўважце месцазнаходжанне шайбаў і распорных пракладак на нітах. Дастаньце вузел з-пад аўтамабіля.
36. Калі патрабуецца, адкруціце і зніміце кранштэйны з падматорнай рамы і блока цыліндраў.
Ўстаноўка
37. Вырабляйце ўстаноўку ў зваротным парадку, надзейна зацісніце крапежныя гайкі і балты.
